 | | ±è¼ºÁø ¿øÀå | | ¿¹´àÄ¡°úº´¿ø |
|
Áö³ È£ ÁÖÁ¦¿´´ø ±³Á¤Ä¡·á ½Ã±â¿Í ´õºÒ¾î ȯÀÚ ¶Ç´Â º¸È£Àڵ鲲¼ ±Ã±ÝÇØ ÇϽô °Í ÁßÀÇ ÇÑ °¡Áö´Â ¡®±³Á¤Ä¡·áÀÇ ±â°£¡¯ À̶ó°í »ý°¢ÇÕ´Ï´Ù. ±³Á¤Ä¡·áÀÇ ÃÖÀû±â°¡ ȯÀÚÀÇ ºÎÁ¤±³ÇÕ À¯Çü¿¡ µû¶ó °¢°¢ ´Þ¶ú´ø °Íó·³ ÃÖÀûÀÇ °á°ú¸¦ ¾ò±â À§ÇÑ Ä¡·á±â°£Àº ȯÀÚÀÇ ¿¬·É, ºÎÁ¤±³ÇÕÀÇ À¯Çü, Ä¡·áÀÇ ¹æ¹ý µî¿¡ µû¶ó ´Ù¸£´Ù°í ÇÒ ¼ö ÀÖ½À´Ï´Ù.
ÀϹÝÀûÀÎ Ä¡¿±³Á¤ Ä¡·á
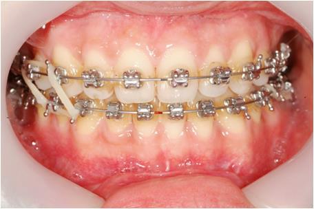
°ñ°ÝÀûÀÎ ¹®Á¦¸¦ µ¿¹ÝÇÏÁö ¾ÊÀº »óÅÂÀÎ °æ¿ì Ä¡¿À» °í¸£°Ô ÇÏ°í ±³ÇÕÀ» È®¸³Çϱâ À§ÇÑ Æ÷°ýÀûÀÎ Ä¡¿±³Á¤(±×¸²1)Àº Ä¡·á¹æ¹ý¿¡ µû¶ó Å©°Ô ºñ¹ßÄ¡ ±³Á¤(Ä¡¾Æ¸¦ ¹ßÄ¡ÇÏÁö ¾Ê°í ±³Á¤ÇÏ´Â ¹æ¹ý)°ú ¹ßÄ¡ ±³Á¤(Ä¡¾Æ¸¦ ¹ßÄ¡ÇÏ¿© ±³Á¤ÇÏ´Â ¹æ¹ý)À¸·Î ºÐ·ùÇÒ ¼ö ÀÖ½À´Ï´Ù. Åë»óÀûÀ¸·Î °ø°£ÀÌ ¸¹ÀÌ ºÎÁ·Çϰųª ÀÔÀÌ µ¹ÃâµÈ °æ¿ì ¹ßÄ¡ ±³Á¤ÀÇ ´ë»óÀÌ µÈ´Ù°í ÇÒ ¼ö ÀÖÀ¸¸ç ±â°£Àº ³À̵µ¿Í Ä¡¾ÆÀÇ ¹è¿»óÅ¿¡ µû¶ó ´Ù¼Ò Â÷À̰¡ ÀÖ°ÚÀ¸³ª ÃÖ¼Ò 1³â ÀÌ»óÀÇ ½Ã°£ÀÌ ÇÊ¿äÇÕ´Ï´Ù. ¹ßÄ¡ ±³Á¤ÀÇ °æ¿ì À̸¦ °í¸£°Ô ¹è¿ÇÑ ¼ö ¹ßÄ¡°ø°£À» Æó¼âÇÏ´Â ±â°£ÀÌ Ãß°¡ÀûÀ¸·Î ÇÊ¿äÇÏ°Ô µÇ¹Ç·Î ÀϹÝÀûÀ¸·Î 2³â ³»¿ÜÀÇ ±â°£ÀÌ ÇÊ¿äÇÕ´Ï´Ù. ¼ºÀå±â ȯÀÚÀÇ °æ¿ì´Â »ý¸®Àû ¹ÝÀÀÀÌ ¼ºÀκ¸´Ù Ȱ¹ßÇÏ¿© Ä¡¾ÆÀÇ À̵¿ ¶ÇÇÑ ºü¸£°Ô ÀϾ¹Ç·Î ºñ½ÁÇÑ Áõ·Ê¶ó°í ÇÏ´õ¶óµµ ¼ºÀκ¸´Ù´Â ±â°£ÀÌ Âª°Ô ³¡³ª´Â °æ¿ì°¡ ÀϹÝÀûÀÔ´Ï´Ù.
 | | ±×¸²1 |
|
¼ºÀåÁ¶Àý Ä¡·á
¼ºÀå±â¿¡ ÁÖ°ÆÅÎÀ̳ª ¹«ÅÎ, ¾È¸éºñ´ëĪ µîÀÇ °ñ°ÝÀû ¹®Á¦¸¦ Áö´Ï°í ÀÖ´Â °æ¿ì Ä¡¿±³Á¤¿¡ ¾Õ¼ ¼ºÀåÁ¶Àý Ä¡·á¸¦ ÇÊ¿ä·Î ÇÏ°Ô µË´Ï´Ù(±×¸²2). Åë»ó 2³â ³»¿ÜÀÇ Àû±ØÀû Ä¡·á¸¦ ¿ä±¸ÇÏ´Â °æ¿ì°¡ ÀϹÝÀûÀ̳ª ºÎÁ¤±³ÇÕÀÇ ½Éµµ³ª ³À̵µ¿¡ µû¶ó ±â°£ÀÌ ¸¹Àº ºÎºÐ ´Þ¶óÁú ¼ö ÀÖ½À´Ï´Ù. ÀÌ·¯ÇÑ Ä¡·á´Â Àǻ簡 Á÷Á¢ Ä¡¾Æ¸¦ ¿òÁ÷¿© Á¶ÀýÇÏ´Â ¹æ¹ýº¸´Ù´Â ȯÀÚÀÇ ÇùÁ¶¸¦ ¿ä±¸ÇÏ´Â Àåġġ·á°¡ º¸ÆíÀûÀ̱⠶§¹®ÀÇ È¯ÀÚÀÇ ÇùÁ¶µµ°¡ Ä¡·á±â°£ÀÇ °áÁ¤Áþ´Â °¡Àå Áß¿äÇÑ ¿ä¼ÒÀÔ´Ï´Ù. ¼ºÀåÀÇ ¼Óµµ ¶ÇÇÑ Áß¿äÇÏ´Ù°í ÇÒ ¼ö Àִµ¥ ÅÎÀÇ ¼ºÀåÀº ŰÀÇ ¼ºÀå¿¡ ºñ·ÊÇÏ¿© ¹ß»ýÇÏ´Â »ý¸®Àû º¯ÈÀ̱⠶§¹®ÀÔ´Ï´Ù. ¶ÇÇÑ ¼ºÀåÁ¶ÀýÄ¡·á´Â ÀÏ´Ü °³¼±ÀÌ µÇ¾ú´Ù°í ÇÏ´õ¶óµµ ÀÜ¿©¼ºÀå¿¡ µû¸¥ Àç¹ß °¡´É¼ºÀÌ ÀÖÀ¸¹Ç·Î ¼ºÀåµÐȱ⠱îÁö ¼ºÀå±â Àü¹Ý¿¡ °ÉÄ£ Ä¡·á-°üÂûÀÌ ¿ä±¸µË´Ï´Ù.
 | | ±×¸²2 |
|
ºÎºÐ±³Á¤
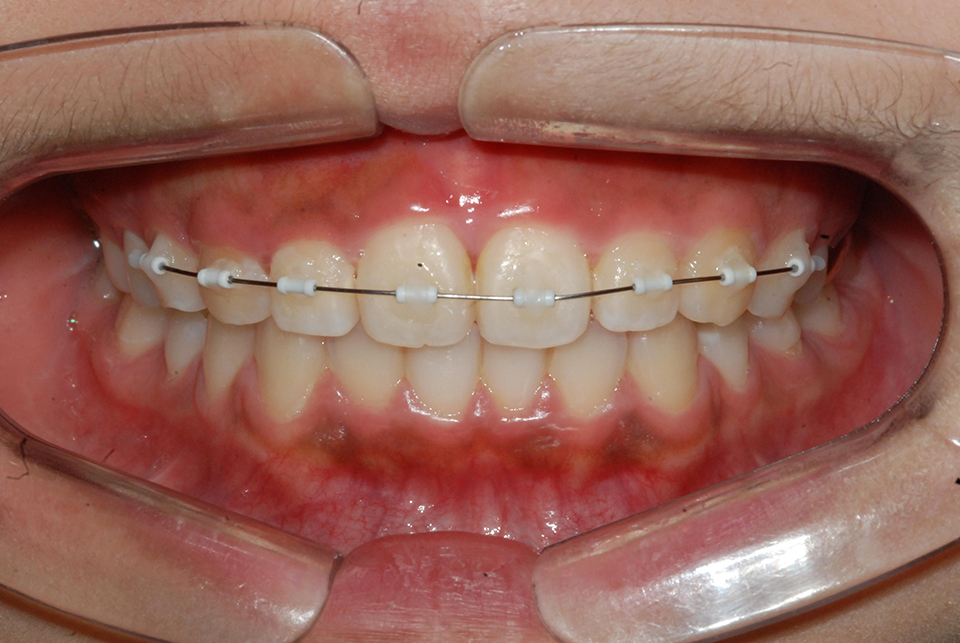
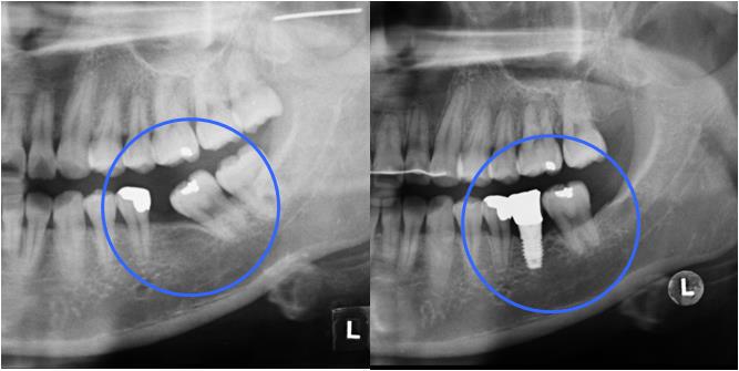
ºÎÁ¤±³ÇÕÀÌ Æ¯Á¤ ºÎÀ§¿¡ ±¹ÇѵǾî ÀÖ´Â °æ¿ì ƯÁ¤ Ä¡¾Æ¿¡¸¸ ÀåÄ¡¸¦ ºÎÂøÇÏ¿© ±³Á¤ ÇÏ´Â °æ¿ìµµ ÀÖ½À´Ï´Ù. Ʋ¾îÁ®ÀÖ´Â ¾Õ´Ï¸¸ ºÎºÐÀûÀ¸·Î °í¸£°Ô ¹è¿Çϰųª(±×¸²3) º¸Ã¶(ÀÓÇöõÆ®)À» À§ÇØ ¾²·¯Áø ¾î±Ý´Ï¸¦ ¹Ù·Î ¼¼¿ì´Â °æ¿ì(±×¸²4), »ó½ÇµÈ ´ëÇÕÄ¡ ¶§¹®¿¡ Á¤ÃâµÈ ¾î±Ý´Ï¸¦ ¾ÐÇϽÃŰ´Â Ä¡·á°¡ ´ëÇ¥ÀûÀÎ °æ¿ìÀÔ´Ï´Ù(±×¸²5). Áõ·ÊÀÇ ³À̵µ³ª ¹è¿»óÅ¿¡ µû¶ó Åë»ó 6°³¿ù ³»¿ÜÀÇ ±â°£ÀÌ ÇÊ¿äÇÕ´Ï´Ù.
 | | ±×¸²3 |
|
 | | ±×¸²4 |
|
 | | ±×¸²5 |
|
¼ö¼ú±³Á¤
¼ºÀο¡¼ °ñ°ÝÀûÀÎ ¹®Á¦(ÁÖ°ÆÅÎ, ¹«ÅÎ, ¾È¸éºñ´ëĪ µî)¸¦ ÇØ°áÇϰíÀÚ ÇÒ °æ¿ì ±³Á¤°ú ¼ö¼úÀ» µ¿½Ã¿¡ ÇÊ¿ä·Î ÇÏ°Ô µË´Ï´Ù(±×¸²6). ÀÌ °æ¿ì ÀϹÝÀûÀ¸·Î ¼ö¼úÀ» À§ÇÑ Áغñ(¼úÀü±³Á¤) - ¼ö¼ú - ¼ö¼ú ÈÄ ±³ÇÕÈ®¸³À» À§ÇÑ ±³Á¤(¼úÈı³Á¤)ÀÇ °úÁ¤À» °ÅÄ¡°Ô µÇ´Âµ¥ Åë»óÀûÀ¸·Î 2³â ÀÌ»óÀÇ ±â°£ÀÌ ÇÊ¿äÇÕ´Ï´Ù.
 | | ±×¸²6 |
|
¿µ¾ÏÀϺ¸ yailbo@daum.net